May 2, 2026
Fratura de Colles Traumatologia e Ortopedia

Fratura de Colles Traumatologia e Ortopedia

1- Fratura de Colles – Fratura com deformidade em “garfo de jantar”. 2- Fratura de Smith – Fratura com deformidade em “pá de jardim”. 3- Fratura de Barton – Fratura da extremidade distal do rádio com subluxação do carpo acompanhando o desvio do fragmento articular. 4- Fratura de Hutchinson – Fratura por avulsão com.. A fratura de Colles teve seu primeiro registro em 1814 pelo cirurgião e anatomista irlandês Abraham Colles. Para o tratamento da fratura de Colles, o método tradicional ou conservador é o mais indicado. Fratura de Smith . Conhecida também como a fratura de Colles invertida, é quando o rádio distal sofre uma fratura com deslocamento de.


Fratura de Colles Traumatologia e Ortopedia

Fractura de colles y smith Diapositivas de Traumatología Docsity


Entenda o que é a fratura

Entenda o que é a fratura de Colles Ortoprime


Dr. Diego Ariel Fratura do Punho

Dr. Diego Ariel Fratura do Punho (Rádio Distal)


Fractura de Colles Smith Fmarginales Mano

Fractura de Colles Smith Fmarginales Mano Sistema musculoesquelético


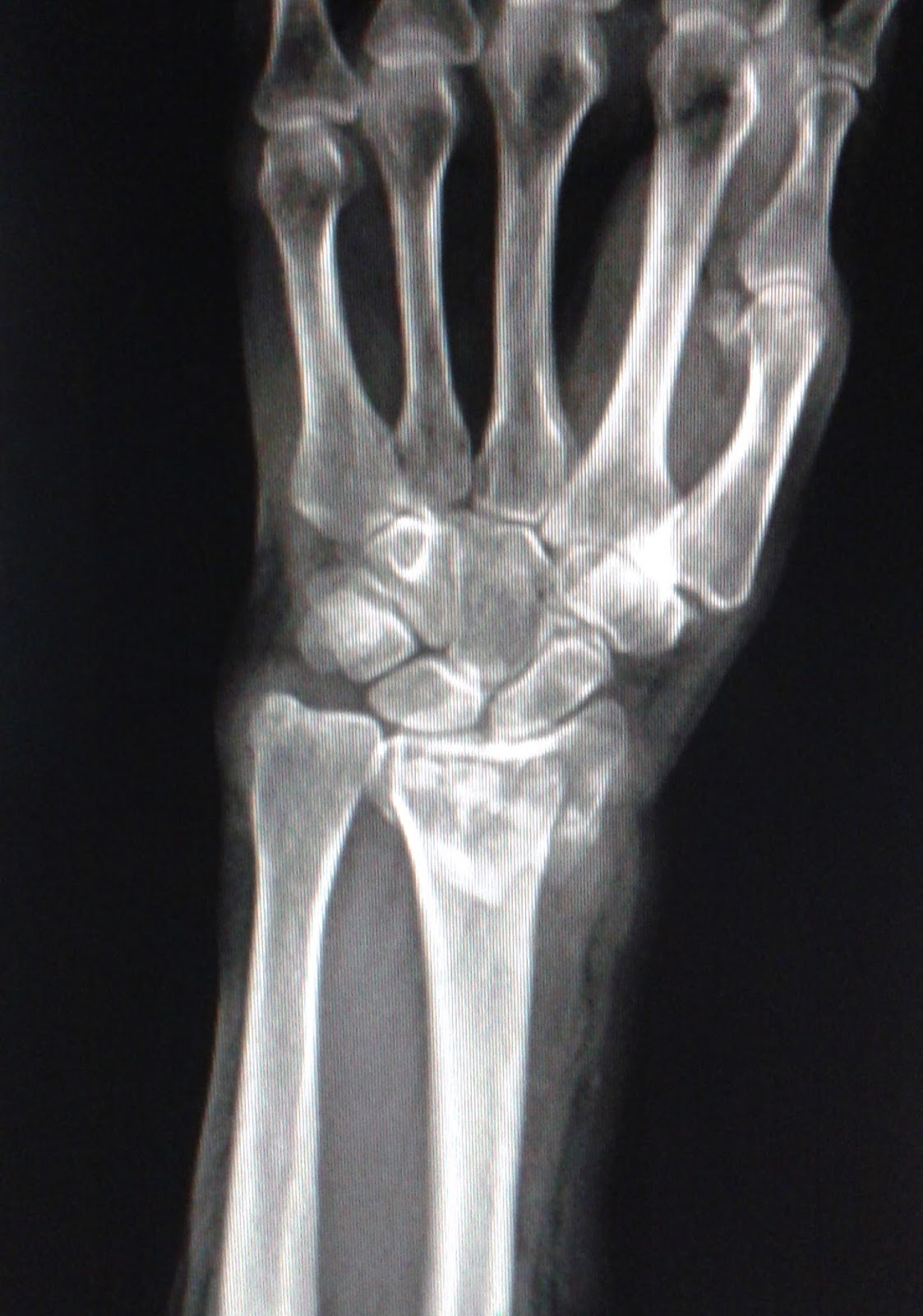
DICAS DE RADIOLOGIA Tudo Sobre Radiologia

DICAS DE RADIOLOGIA Tudo Sobre Radiologia IMAGENS RADIOLÓGICAS FRATURA DO RÁDIO FRATURA


FRATURAS DE COLLES, SMITH E BARTON

FRATURAS DE COLLES, SMITH E BARTON NO RX YouTube


The Wrist

The Wrist


Smith Fracture

Smith Fracture


Fratura de Smith sara.fisio Fisioterapia em

Fratura de Smith sara.fisio Fisioterapia em Traumatologia e Ortopedia


Colles’ Fracture Pictures, Treatment, Healing Time,

Colles’ Fracture Pictures, Treatment, Healing Time, Surgery, Symptoms YouMeMindBody


Fractura De Smith

Fractura De Smith


Fratura de Barton

Fratura de Barton


Distal Radius Fractures Colles Smiths Barton

Distal Radius Fractures Colles Smiths Barton TeachMeSurgery


DICAS DE RADIOLOGIA IMAGENS RADIOLÓGICAS FRATURA

DICAS DE RADIOLOGIA IMAGENS RADIOLÓGICAS FRATURA DISTAL DO RÁDIO FRATURA DE COLLES


Fratura de Colles Traumatologia e Ortopedia

Fratura de Colles Traumatologia e Ortopedia


FRACTURA DE COLLES (power point)

FRACTURA DE COLLES (power point)


FRACTURA DE BARTON Cirugia de Columna

FRACTURA DE BARTON Cirugia de Columna en Matamoros


DICAS DE RADIOLOGIA IMAGENS RADIOLÓGICAS FRATURA

DICAS DE RADIOLOGIA IMAGENS RADIOLÓGICAS FRATURA DISTAL DO RÁDIO FRATURA DE COLLES


COLLES' fracture how to differentiate with

COLLES’ fracture how to differentiate with Smith’s fracture and Barton Fracture YouTube


Colles' fracture RCEMLearning

Colles’ fracture RCEMLearning

Colles definió este tipo de fractura como una ruptura transversal trans-metafisaria del radio. Se suele generar justo por encima de la muñeca. Se origina un desplazamiento dorsal del fragmento distal (zona próxima a la muñeca). La fractura se origina cuando al sufrir una caída, se cae sobre la palma de la mano, con la muñeca extendida.. Colles fracture: The wrist is fractured when people fall on an outstretched hand, with the wrist bent back. The larger forearm bone (radius) breaks near the wrist, and the broken end of the radius is displaced up, toward the back of the hand. Smith fracture: The wrist is fractured when people fall with the hand bent forward. The broken end of.